
오늘도 주걱턱 얘기로 이어나가 보겠습니다.
학문적인 얘기를 하려면...
시작은 항상 질환의 원인과 분류, 이런 걸로 시작하지요 ^^
이러면 많이 지루해지니까요. 그냥 토픽 위주로 잘라서 말씀드려 보는게 좋겠어요.
주걱턱에 관련된 토픽으로 상악확장 얘기를 해보려고 합니다.
워낙 인터넷에 넘쳐나는 정보들로 이제 상악확장이라는 용어는 그렇게 전문적으로 느껴지지 않습니다.
자주 말씀드리는 얘기지만 주걱턱이라는 표현은 단순히 턱이 주걱처럼 생겼다는 얘기가 아닙니다 ㅠ
3급의 골격을 가졌다는 얘기고, 이런 골격의 특징은 단순히 아래턱이 크다는 것 뿐아니라, 윗턱은 작다는 얘기를 포함하고 있습니다.
그래서 상악확장은 주걱턱 골격에서 빼놓을 수 없는 술식입니다.

윗턱뼈는 그림에서 녹색으로 표현된 부분인데,
정중부를 기준으로 양쪽 두개의 뼈가 봉합으로 연결되어 있습니다.

윗턱뼈와 윗니를 보여주는 그림인데, 가운데 수직선이 봉합부위를 표현하고 있습니다.
얼굴골격뼈는 다양한 봉합에 의해 뼈조각들이 연결되어 있고,
그 중에 하나가 지금 말씀드린 좌우 윗턱뼈를 연결하는 '정중구개봉합'입니다.

이것은 봉합의 단면에 대한 모식도 인데요.
교정학교과서에 항상 나오는 내용이죠.
오른쪽으로 갈수록 봉합부위가 성숙해가는 것인데요, 점점 복잡하게 얽히게 되는 것입니다.
그래서 상악확장은 어릴 때 하는 것이 좋기는 합니다.
성장기의 상악확장에 대해서는 또 할말이 많아지기 때문에 다음 기회에 하고요.
오늘은, 이미 봉합의 성숙이 많이 일어난 성인에 있어서의 상악확장 얘기입니다.
이미 어렸을 때 상악확장치료를 받았다 하더라도, 더 확장이 필요한 경우도 있고요,
성장기에 확장치료를 받을 기회를 놓친 성인환자도 있겠지요.

이 사진은 이해도를 높이기 위해 구글에서 긁어온 사진인데요.
윗턱이 좁은게 느껴지시나요? 조금 극단적인 케이스이긴 합니다.
서양인은 이런 악궁을 가지고 있어도 심미적으로 문제가 없어보이는 경우도 많지만,
우리나라 사람이라면 이 정도면 바로 돌출입으로 느껴지게 됩니다.
두상의 차이 때문인데, 이것도 나중에 한번 말씀드리겠습니다.
어쨌든,
봉합의 분리가 어려운 성인의 상악확장은 성장기 상악확장과는 다른 장치를 써야 합니다.

이렇게 뼈에 직접 나사를 심어서,
가운데를 가로지르는 rod를 따라서 조금씩 양쪽으로 벌리는 장치입니다.
이렇게 뼈를 직접 벌리겠다는 생각은, 사실 제가 대학병원 수련의였던 22년전에도 시도되던 것입니다.
그때는 초기였기 때문에 실패도 많이 했었죠.
많은 디자인의 변화가 이루어져 최근에는 저렇게 깔끔하게 장치를 유지할 수 있게 되었답니다.
초기 디자인으로 위와 같은 사진이 있긴 한데, 차마 보여드리기는 힘들겠네요 ㅠ
약간 논점을 벗어난 얘기지만요,
대학병원은 이렇게 실험적인 치료를 많이 합니다.
그만큼 실패도 많이 할 수 밖에 없고요. 그래야만 학술적인 발전을 이룰 수 있겠지요.
일반 로컬치과의 목표는 안정적인 진료가 되어야 할 것입니다.
더 공격적인 치료가 필요하다면 상급병원으로 의뢰를 해야 되겠지요.
가끔 일반 개원치과에 불과한 곳에서 대학병원식 진료를 한다는 광고를 봅니다.
큰 병원을 선호하는 대중의 심리를 이용해보겠다는 과장광고일 뿐이죠.
공격적인 치료를 몰라서가 아니라,
개원가의 목표는 한 케이스, 한 케이스씩 안정적으로 치료를 종료시키는 것이 최우선 목표가 되어야 합니다.
어쨌든,
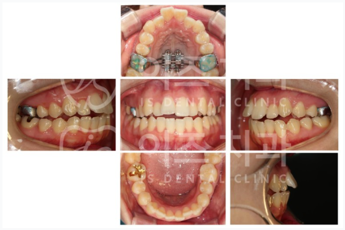
이런 방식으로 비발치로 끝낸 케이스를 하나 보여드리고 급마무리를 하려고 합니다 ^^

어떻게 보이시나요?
뭐 그렇게 삐뚤하지는 않은 거 같고, 가지런한 편이지요?
근데 이는 잘 안 맞는 것이 보이실까 모르겠습니다. 교합이 잘 안 맞는다고 표현하지요.
더 심한 환자도 많지만 느낌을 좀 더 잘 알 수 있어서 이 케이스를 골랐는데요.
이 정도만 되도 상악을 확장하는 것이 좋겠습니다.
이 상태로 치아만 배열하게 되면 정확한 교합을 맞추기가 어려워집니다.

장치를 장착한 사진입니다.
이 단계에서는 보통 치아에 붙이는 브라켓은 아직 하지 않습니다.

등록된 댓글이 없습니다.